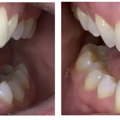
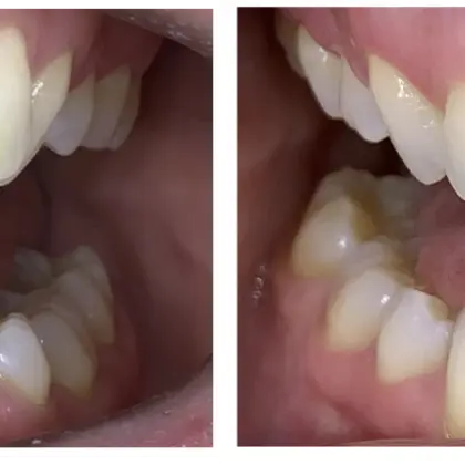
Your Dream Smile Transformation
Crafting smiles as unique as our patients. Experience detailed colour matching for smooth and brilliant whitening, quick and elegant solutions for beautiful alignment, and multiple options for veneers, inlays and implants to restore and elevate your smile in a way that is personal to you.
